4月17日は研修のため臨時休診になります。 ご予約はこちらからお願いします。

一般歯科
4月17日は研修のため臨時休診になります。 ご予約はこちらからお願いします。


患者情報
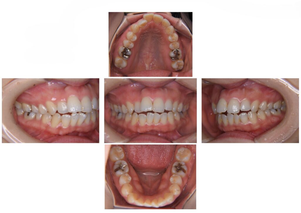
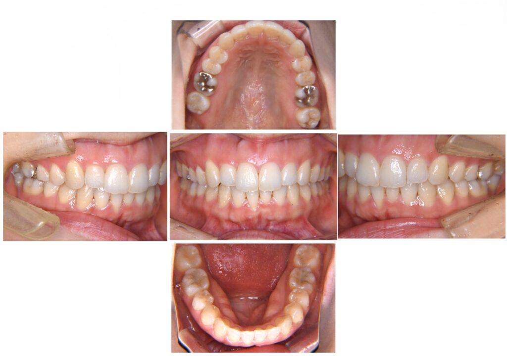
●主訴
上の前歯がねじれているのを治したい
●診断
開咬(オープンバイト)
●治療に用いた主な装置
マウスピース型矯正装置(インビザライン)による全体矯正
●治療期間
26ヶ月
●治療費用
770,000円(税込)
●リスク・副作用
この症例はMedical DOCにも掲載されています。
Medical DOCで確認する
津市で成人矯正をお考えの方は、無料相談フォームよりご予約ください。
le>